Call me back

We’re Accepting New Patients!

Read More Next

Looking for a caring and professional dental practice? We’re excited to welcome new patients to our clinic! Whether you’re due for a check-up, need treatment, or are looking to enhance your smile, our friendly team is here to help.
Contact us today to book your first appointment—we look forward to meeting you!

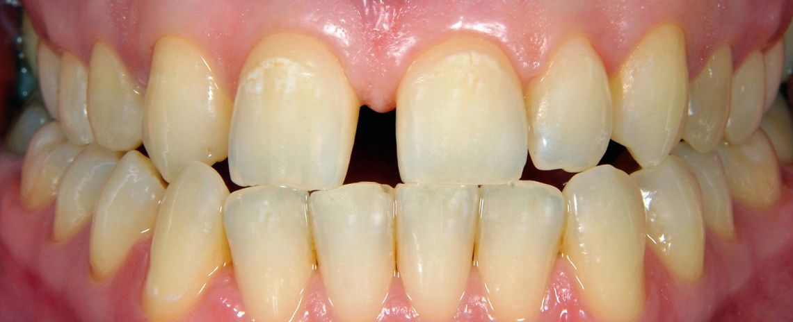
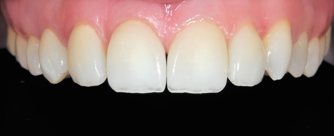
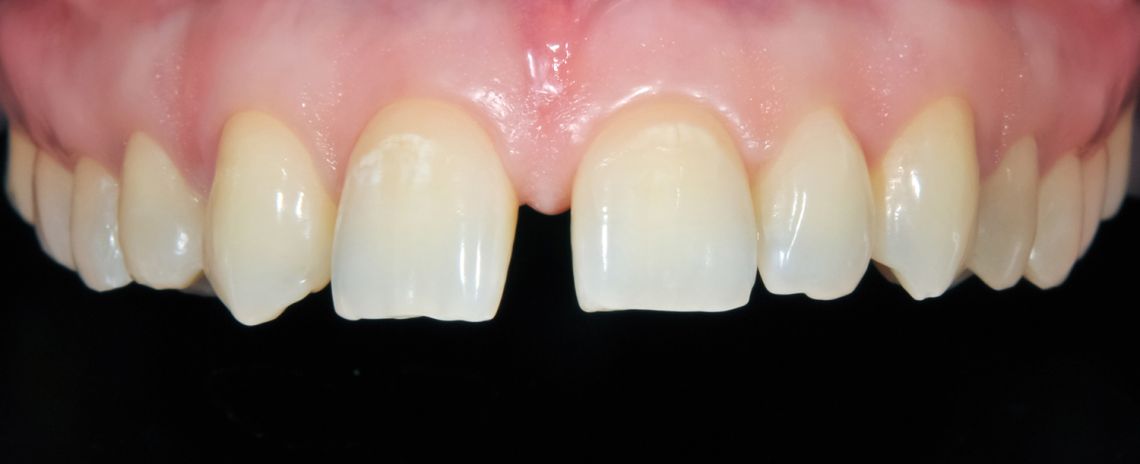
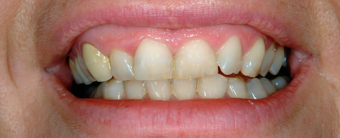
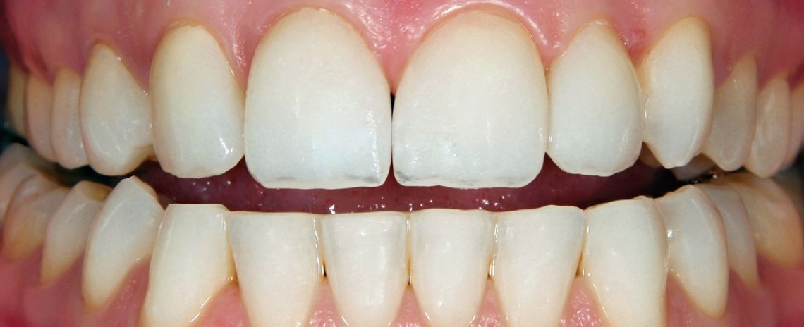
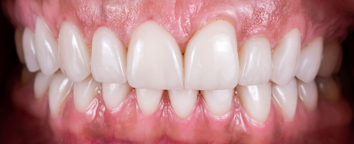
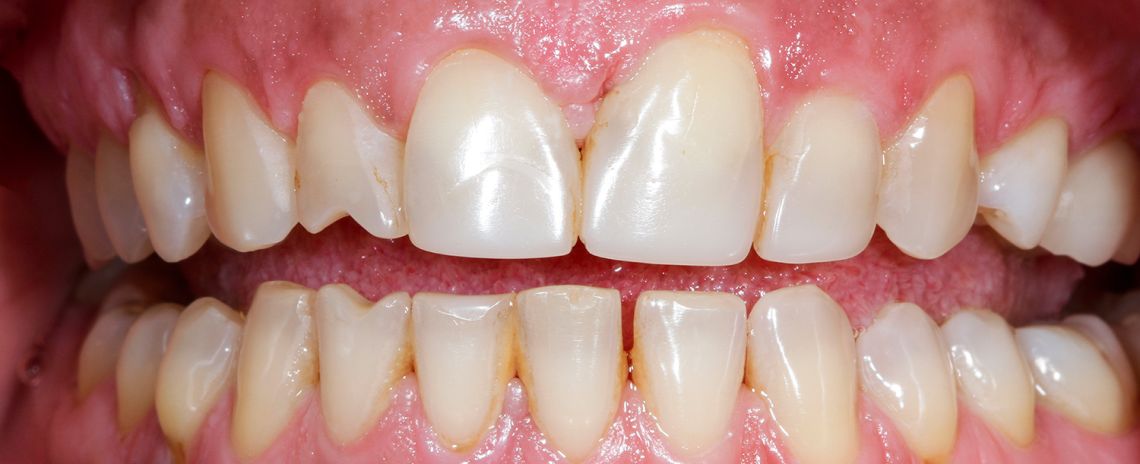
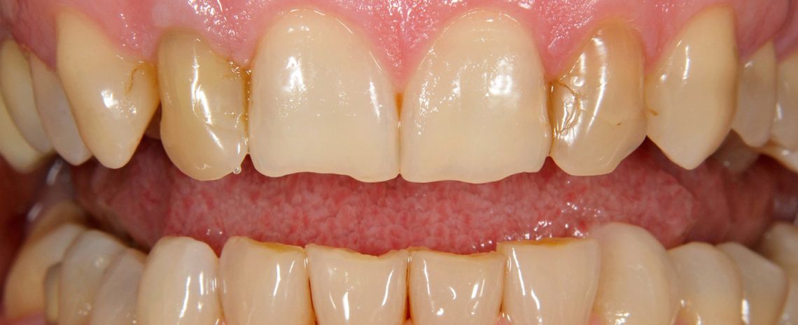
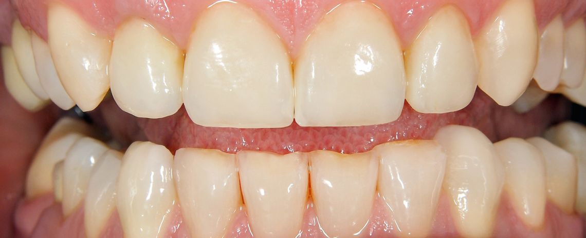
Veneers

A veneer is a thin, custom-made shell that is used to cover the front surface of a tooth, usually made from porcelain. They look natural and healthy, and can improve the colour, shape and position of your teeth. They can hide stained, chipped, mis-shaped or crooked teeth, or cover gaps in teeth where orthodontic treatment may not be suitable.

At Envisage Dental we use only the best materials and quality ceramic laboratories that have been tried and tested by thousands of patients. The procedure takes two appointments. At the first appointment, we shape your teeth as carefully and conservatively as possible and take a mould of the teeth to be veneered. Hand crafted temporary veneers are then placed on your teeth whilst your final veneers are being made. This allows you to ‘trial’ your new smile so that you can experience how your new smile will look and feel. If you want any changes to the shape or size at this stage, we can make adjustments so that you’re completely satisfied.

Once the veneers are ready, the temporary veneer is removed at your second appointment, and the permanent one fitted. Your Envisage Dental dentist will check the fit to ensure a correct bite and check your comfort, before securing in place.

Call us on 02392 380822 to book a consultation and discuss your smile makeover options.

Meet the team

Dr Ashley Hazlehurst

Dentist

GDC NO. 203894

Dr Leona Bailey

Dentist

GDC NO. 244569

Dr Rodica Iliescu

Dentist

GDC NO. 164074

Previous
Next
Patient Reviews

People are talking about us

The biggest complement we receive is when our patients refer their friends and family to Envisage Dental. In fact, we have built much of our practice on these valued, trusted recommendations over the years. Read our reviews to hear why our patients are recommending us…

Patient reviews

1394 Reviews

5.0

31st January 2026

Let’s star with the receptionist they are so lovely always looking forward to meet them the dentist is also very welcoming you feel considerate and she’s cery kind

30th January 2026

First class treatment and care from all staff members inspiring high level of trust and confidence going forward. Much appreciated.

30th January 2026

Easy to make an emergency appointment. Seen quickly. All treatment explained clearly. Referral for further treatment made and likely cost explained. Shown all photographs and x-rays and permission to send onwards to referral consultant requested and given

CC

Charlotte Cox

I’ve been a patient at this surgery for the last 14 years, and genuinely it is the best practice. They really look after their patients. The staff are so nice and friendly and know everyone’s names, ask how families are etc, it’s a really lovely personal touch. Most people dread going to the dentist, but I don’t because I know I’ll be looked after and cared for in a sensitive and caring manner. Couldn’t recommend this practice more

BM

Bernie Marshall

Very helpful and informative.

TS

Tony Swales

Friendly and helpful service as always

27th January 2026

I am really pleased with the hygienist.Also I think Rodica is a very good dentist

SH

Samantha Houghton

Friendly and professional service

23rd January 2026

Reception staff were extremely helpful and friendly. Dentist and assistant were very, very professional, pleasant and friendly. I was made too feel at ease and reassured that I was in capable hands in what was a difficult extraction, cannot fault the attention I received: 10 out of 10 all round.

23rd January 2026

Great service

23rd January 2026

I was dealt with on time and in a courtious and professional manner.

22nd January 2026

Professional and friendly reception staff. Clean and inviting reception.Always feel welcome. Patient and polite Clinicians. Never feel rushed.

21st January 2026

BEEN USING FOR OVER 25 YEARS AND KNOW ALL THE STAFF ALL DO A GREAT JOB AND DESERVE MY SCORING AS A THANK YOU FOR BEING THERE FOR ME

21st January 2026

Excellent overall

21st January 2026

Dr Bailey is absolutely fantastic with children. I bought my first child in for her first appointment last year and she was brilliant with her, as she was quite nervous. This time, my daughter went in very excited to show Dr Bailey her teeth and chat with her over Peppa Pig stickers. She was also brilliant with my 17-month-old son, as this was his first appointment and he is currently teething. I have also seen Dr Bailey myself and had a filling, and she is very comforting and chatty.

BT

Bill Trace

All staff were pleasant and efficient

KM

Kay Mills

Friendly...on time professional service

18th January 2026

highly skilled and professional staff who are always kind and caring. The entire team at Drayton are wonderful.

17th January 2026

The whole process runs so efficiently. The receptionists are very friendly and efficient. The dentist is very kind, caring and thorough with their examination, with the Dental nurse working well with the dentist. Then a sort wait for the hygienist who does a really thorough job at a deep clear, whilst giving me helpful tips on how to improve my dental hygiene. Exemplary

CW

Carey Warden

Always punctual, polite and efficient underpinned by friendliness. A great practise to be a part of

Prev Previous
Next Next