Call me back
Teeth straightening
Serving patients throughout Portsmouth and Farlington
Never before have there been so many ways to have your teeth straightened.
Teeth straightening is a dental speciality known as Orthodontics. Using fixed braces or removable aligners, teeth are slowly and precisely moved to achieve a beautifully aligned smile.
Dentists and Orthodontists have been straightening teeth for decades, but a lot has changed in that time. Traditional fixed braces will always be a fantastic way to straighten teeth, but advances in technology have now introduced a range of discreet alternatives. From clear removable aligners, clear fixed braces to invisible wires hidden behind the teeth, these aesthetic options have seen a huge rise in the number of adults seeking straighter teeth.
Orthodontic treatment is most often used to improve the appearance and alignment of crooked, protruding or crowded teeth, and to correct problems with the bite of the teeth. Whether you have mild crowding or a complex bite problem, our teeth straightening dentist, can help you to achieve your perfect smile.
At Envisage Dental in Portsmouth we offer the following teeth straightening options:
- Invisalign
- Clear aligners
Treatment times vary depending on your individual alignment needs. For simple cases this could be just a few months, but for more complex movements, it usually takes between 12 months and two years to achieve your beautiful new smile. our dentist will give you an idea of how long your teeth straightening treatment may take during your initial consultation.
Benefits of dental braces or clear aligners from Envisage Dental in Portsmouth
- Dramatically improve the appearance of your smile and potentially provide a life-changing confidence boost.
- Improve the way your teeth function and bite together – they can even help some speech problems.
- Straighter teeth provide food and plaque with fewer places to hide, making it easier for you to keep your smile clean and healthy.
- If you follow aftercare advice and wear your retainers, your results can last a lifetime.
Am I suitable for teeth straightening?
Your teeth and gums need to be healthy before you can start treatment. If you have any implants, crowns, bridges, or veneers you can still wear braces, we can usually work around them.
If you are looking for teeth straightening or orthodontics in Portsmouth and Farlington and want to know more about how this could work for you, get in touch to arrange a consultation at Envisage Dental.
Meet the team
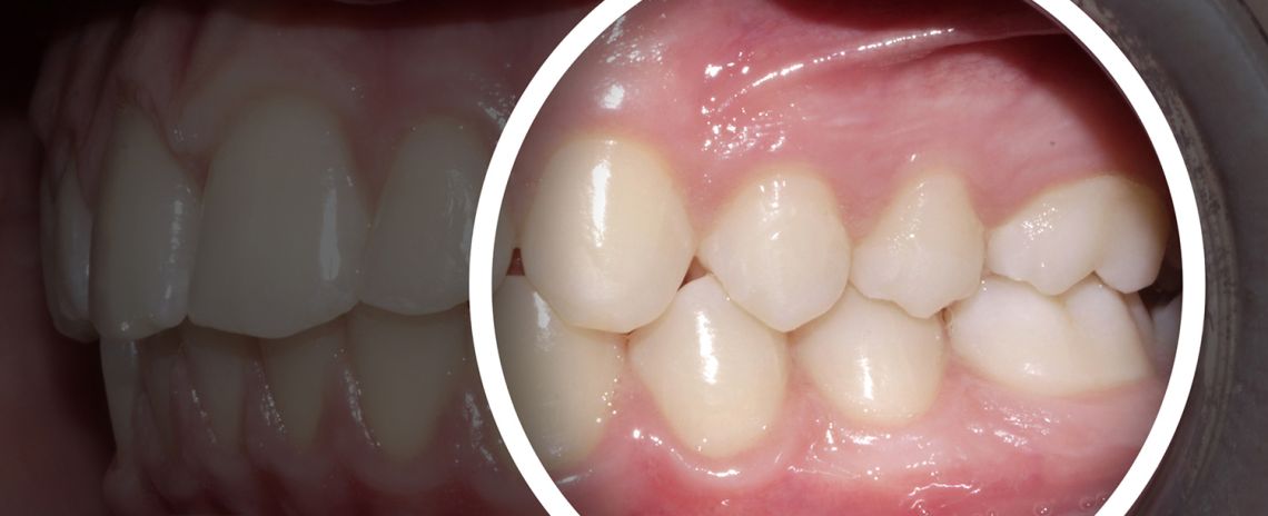
Before and after
 
 		People are talking about us
The biggest complement we receive is when our patients refer their friends and family to Envisage Dental. In fact, we have built much of our practice on these valued, trusted recommendations over the years. Read our reviews to hear why our patients are recommending us…
 
                     
                     
 
                     
 
                     
									 
								 
									 
								 
									